Демо запись

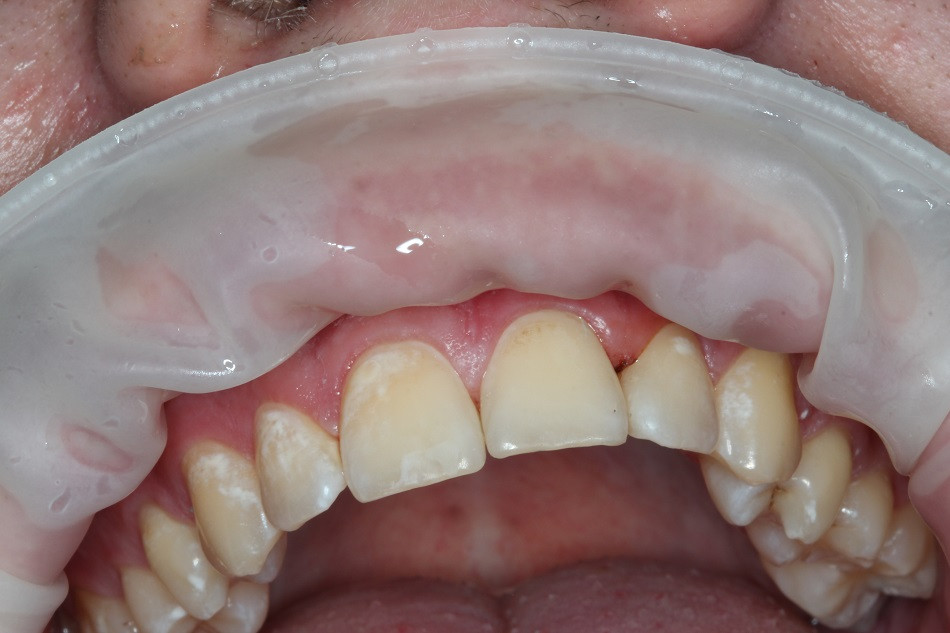
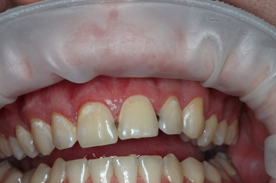
Описание для демо-записи, где вы можете описать клинический случай и как решали проблему.

Проводили лечение
Создаю идеальное здоровье!
Записаться на прием
Врач-терапевт
Стаж - 9 лет
Записаться онлайн
Записаться на телефону
+7 (495) 123-45-67 перезвоним в течение 10 минут

Вступайте и пишите в группу

Конструктор форм iForms
Наш сайт использует cookie. Продолжая им пользоваться вы соглашаетесь со всеми правилами проекта.